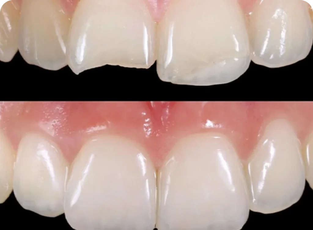
Чернов Андрей Растиславович, главный врач-ортопед клиники Smile-at-Once, специалист по восстановлению эстетики с помощью виниров . Стаж работы — 14 лет. У меня вы можете пройти комплексную диагностику и получить индивидуальный план лечения.
Почему дешёвые виниры — это дорого в будущем: честный разбор долгосрочных затрат

Я — Андрей Растиславович Чернов, главный врач-ортопед высшей категории. Более 14 лет я помогаю пациентам возвращать улыбку — красиво, функционально и без сюрпризов. И почти каждую неделю слышу один и тот же вопрос: «А если сделать подешевле?». Я хорошо понимаю: мысль о лечении может тревожить — страшно бояться боли, сложно ориентироваться в материалах, а кошелёк напоминает о бюджете. Но именно здесь кроется ловушка: дешевые виниры выглядят выгодой только сегодня, а через пару лет превращаются в повторные процедуры, лишние визиты и новые счета. Ниже — мой честный, «профилактический» разговор с вами как с пациентом, с конкретными примерами, цифрами и понятными сравнениями.
Что я называю “дешевыми винирами” — и почему это важно сейчас
Мне важно, чтобы мы одинаково понимали термины. Под фразой дешевые виниры я имею в виду тонкие накладки на зубы, изготовленные из недорогих или нестабильных материалов и/или без полноценной диагностики и точного цифрового планирования. Они действительно могут стоить меньше на старте, но цена «чуть позже» оказывается выше.
Классификация «эконом-решений»
- Композит на передние зубы: быстро, недорого, но менее устойчив к окрашиванию, истиранию и сколам.
- Дешёвая керамика: нестабильный цвет, риск микротрещин при нагрузке.
- Поточный подход без диагностики: типовые заготовки, слабая подгонка, упрощённая фиксация.
Вы можете встретить разные названия — бюджетные виниры, недорогие виниры, дешёвые накладки, виниры эконом-класса. Смысл один: экономия происходит не за счёт «волшебной скидки», а за счёт упрощений, которые бьют по долговечности и здоровью.
Долгосрочные последствия: где «экономия» превращается в траты
Я не пугаю — я ваш навигатор. Моя задача — сохранить зубы и спокойствие. В практике чаще всего вижу такое:
- Избыточная обточка. Когда толщина и форма винира продуманы плохо, врач вынужден снять больше эмали. Потом зуб станет чувствительным, а переделка — сложнее.
- Отслоения и вторичный кариес. Неправильная адгезия и «щели» по краям — идеальное место для бактерий. Через 6–18 месяцев появляются потемнения, запах, чувствительность.
- Нарушение прикуса и нагрузок (ВНЧС). Если окклюзия не учтена, жевательные контакты «гуляют»: хруст и щелчки в суставе, головные боли по утрам, стираемость.
- Эстетика «не в цвет». Дёшево — это ещё и слабая цветостабильность. Пятна кофе/чая/вина быстро «садятся», а зубы рядом — другого оттенка.
- Повторные визиты, перерасход времени и средств. Переделка обычно включает снятие старых, лечение под ними и новую работу. И это уже другая смета.

Сравнение по выносливости и рискам
Тип решения | Ориентир по цене на старте (за зуб) | Оценка срока службы* | Риск осложнений |
---|---|---|---|
Композит «дешёвый» | низкий | 1–3 года | высокий |
Керамика нестабильная | средний | 3–5 лет | средний |
Качественная керамика (e.max/люминиры) | выше среднего | 10–15 лет | низкий |
* Диапазоны усреднены по моей практике и открытым клиническим обзорам; итог зависит от диагностики, гигиены и привычек (скрежет, орехи, семечки и т.п.).
Реальные истории из моей практики
Я делюсь кейсами без фамилий — только с согласия пациентов и с заботой о конфиденциальности.
Кейс 1. «Потемнел один зуб — а оказалось, не один»
Пациент, 34 года. Установил дешевые виниры в другой клинике. Через 9 месяцев — заметное потемнение одного зуба. На снимках видим вторичный кариес под двумя накладками. План: бережная ревизия, лечение, защита эмали и последующая фиксация керамики e.max по цифровому шаблону. Через три месяца пациент сказал фразу, которую я слышу часто: «Я думал, сэкономил, а вышло наоборот».
Пациент, 34 года. Установил дешевые виниры в другой клинике. Через 9 месяцев — заметное потемнение одного зуба. На снимках видим вторичный кариес под двумя накладками. План: бережная ревизия, лечение, защита эмали и последующая фиксация керамики e.max по цифровому шаблону. Через три месяца пациент сказал фразу, которую я слышу часто: «Я думал, сэкономил, а вышло наоборот».
Кейс 2. «Голова болит по утрам»
Пациентка, 40 лет. Сделала виниры эконом-класса без гнатологической диагностики. Жалобы: щелчок в суставе, утренние головные боли, чувство «перекусывания» по одному зубу. Мы начали с диагностики ВНЧС, сплинт-терапии, затем — тонкие керамические виниры с учетом жевательных траекторий. Симптомы ушли в течение 4–6 недель.
Пациентка, 40 лет. Сделала виниры эконом-класса без гнатологической диагностики. Жалобы: щелчок в суставе, утренние головные боли, чувство «перекусывания» по одному зубу. Мы начали с диагностики ВНЧС, сплинт-терапии, затем — тонкие керамические виниры с учетом жевательных траекторий. Симптомы ушли в течение 4–6 недель.
Кейс 3. «Скол в зоне улыбки перед важной встречей»
Пациентка, 29 лет. Композитная накладка скололась в выходные — тревога, боязнь больно лечить. Под обезболиванием сделали экстренную полировку/временный ремонт, позже — постоянный винир e.max, заранее смоделировали улыбку в цифровом мокапе. Всё прошло бережно, без стресса.
Пациентка, 29 лет. Композитная накладка скололась в выходные — тревога, боязнь больно лечить. Под обезболиванием сделали экстренную полировку/временный ремонт, позже — постоянный винир e.max, заранее смоделировали улыбку в цифровом мокапе. Всё прошло бережно, без стресса.

Сколько реально стоит «дешево»: расчёт на 5 лет
Чтобы было наглядно, сравним заявки «на старте» и «по факту» (типовой фронт — 6 зубов).
Стратегия | Стартовые затраты | Что обычно добавляется | Итого за 5 лет (оценка) |
---|---|---|---|
Недорогие виниры | низкие | 1–2 ремонтных визита/год, полировка, возможная замена части или всех | выше среднего |
Качественные керамические | выше | Профгигиена 2 раза/год, контроль, профилактика | предсказуемо средне |
Не хочу вас перегружать цифрами: суть проста. Дешевые виниры — это «дешево сейчас, дорого потом». Качественный вариант честно стоит дороже на старте, но в горизонте 5+ лет почти всегда выигрывает.
Почему «правильные» виниры служат дольше
Секрет не в «магической керамике», а в системе.
- Диагностика и план. 3D-КТ, анализ прикуса, фото-протокол. Я объясняю всё простыми словами: зачем, где и почему.
- Цифровой мокап (SmileVR AI). Сначала создаём виртуальную улыбку — вы видите форму и пропорции заранее. Это снимает тревогу и экономит «переделки».
- Минимальная инвазия. Тонкие пластины (например, e.max) позволяют беречь эмаль; в ряде случаев возможно сверхщадящее препарирование.
- Материалы нового поколения. Дисиликат лития или стеклокерамика (IPS e.max), диоксид циркония — стабильный цвет, высокая прочность, естественная прозрачность.
- Окклюзия и ВНЧС. Я контролирую контакты не только «в улыбке», но и в движении челюстей. Это тихая, но ключевая часть результата.
- Лаборатория и протокол. Цифровое фрезерование (CAD/CAM), точный подбор оттенка, сухое поле при фиксации — те самые мелочи, из которых и складывается «надежно надолго».

Какими материалами мы пользуемся — коротко, по делу
- Композит: под быстрые временные решения или микрореставрации.
- Керамика IPS e.max: естественный блеск, цветостабильность, прочность, тонкие толщины.
- Люминиры (по показаниям): сверхщадящие, но требуют идеального планирования и дисциплины пациента.
- Диоксид циркония: для зон с повышенной нагрузкой, когда важна прочность.
Важно: материал — только половина успеха. Вторая половина — диагностика, прикус и аккуратная фиксация.

Чем отличаются керамические виниры от композитных?
- Керамика (Emax) : служат 10+ лет, естественный вид, но требуют обточки.
- Композит : дешевле, устанавливаются за 1–2 визита, но склонны к сколам. Мы рекомендуем Emax для долгосрочного решения и цирконий — при высоких нагрузках.
Можно ли ставить дешевые виниры без обточки зубов?
Да, но только при минимальных дефектах. Однако бюджетные виниры часто требуют коррекции через 1–2 года. Мы рекомендуем качественные материалы (IPS e.max), чтобы избежать повторных операций.
Мифы о «дешевле» — и как они разбиваются о реальность
Миф 1: «Сделаю недорого, потом улучшу»
На практике «потом» дороже и травматичнее: повторная обточка, снятие, лечение, новая фиксация.
На практике «потом» дороже и травматичнее: повторная обточка, снятие, лечение, новая фиксация.
Миф 2: «Дёшево — значит быстрее и проще»
Скорость без диагностики — это рулетка. Пара «сэкономленных» часов сегодня — неделя исправлений завтра.
Скорость без диагностики — это рулетка. Пара «сэкономленных» часов сегодня — неделя исправлений завтра.
Миф 3: «Главное — белизна. Остальное не важно»
Без учёта прикуса белизна расплатится трещинами и сколами. Эстетика без функции — как костюм не по размеру: видно «с первого шага».
Без учёта прикуса белизна расплатится трещинами и сколами. Эстетика без функции — как костюм не по размеру: видно «с первого шага».
Миф 4: «Починим, если что»
Ремонт возможен не всегда, а «латки» ухудшают край и эстетику. Часто дешевле — переделать качественно.
Ремонт возможен не всегда, а «латки» ухудшают край и эстетику. Часто дешевле — переделать качественно.
Как выбрать клинику и врача, чтобы не «платить дважды»
Я скажу так, как говорю своим близким:
- Спросите про диагностику: будет ли 3D-сканирование, фотопротокол, анализ прикуса, обсуждение ВНЧС.
- Попросите цифровой мокап: увидеть будущее — снять страхи сегодня.
- Уточните про лабораторию: где изготавливают, какой софт/оборудование, как подбирают цвет.
- Гарантии и сервис: план осмотров, профилактика, что включено, кто ваш контакт 24/7.
- Портфолио: реальные кейсы «до/после» с похожими задачами — это лучшая «страховка от сюрпризов».
Почему это важно? Когда эти этапы пропускают, появляется риск компромиссов по качеству.

Частые ошибки пациентов — и как мы их предотвращаем
- «Сразу ставим постоянные». Я всегда начинаю с временных/тест-форм — так вы убеждаетесь в комфорте и внешнем виде.
- Игнорирование гигиены. Дам короткий чек-лист ухода и подстрою под ваш ритм жизни.
- «Мне страшно будет больно». Современная анестезия и аккуратные техники позволяют проводить процедуру безболезненно. Я всегда проговариваю шаги, чтобы снизить тревогу.
- Семечки и «орешки зубами». Расскажу, как сохранить работу в идеале на годы — без жестких запретов, но с разумными ограничениями.
Этапы лечения винирами у меня: прозрачно и спокойно
- Знакомство и диагностика: 3D-КТ, осмотр, снимки, анализ прикуса/сустава, обсуждение ваших ожиданий.
- Цифровой мокап (SmileVR AI): примеряем желаемую форму в виртуальном пространстве; при необходимости — «проба» во рту (mock-up).
- Подготовка зубов: щадящая, только по необходимости; подробно объясняю, что и почему делаем.
- Временные накладки: вы живёте с ними несколько дней/недель, даёте обратную связь.
- Изготовление и примерка: точный цвет/форма, проверка контактов, фотопротокол.
- Фиксация: адгезивные протоколы, контроль краёв, рекомендации по уходу.
- Сопровождение: профилактика, гигиена, контроль комфорта и ВНЧС.

ВНЧС (сустав): почему «мелочь» решает всё
Сустав и мышцы — «мотор» вашей улыбки. Если винир «не вписан» в движение челюстей, даже лучшая керамика проиграет. Я всегда проверяю траектории, высоту прикуса и микроконтакты. Это та часть работы, которую вы не увидите в зеркале, но почувствуете, когда исчезнут утренние зажимы и хруст.
Отзывы пациентов
«Думала, что справлюсь бюджетно, а получилось нервно: потемнение, полировка, снова трещина. Андрей всё объяснил по шагам, сделали мокап, я наконец выдохнула. Теперь улыбаюсь без страха».
— Марина, 42 года
«Меня пугала боль и сам процесс. Сделали анестезию, всё прошло спокойно. Главный бонус — естественный цвет, жена сказала, что я помолодел».
— Сергей, 39 лет
— Сергей, 39 лет
«У меня после старых накладок болела голова по утрам. Здесь сначала разобрались с прикусом, потом поставили керамику. Боли нет, и это счастье».
— Инна, 46 лет
— Инна, 46 лет

Таблица: что скрывается за ценой (вкратце)
Параметр | «Подешевле» | Качественное |
---|---|---|
Диагностика | минимальная или отсутствует | полный протокол + цифровой мокап |
Материал | композит/нестабильная керамика | IPS e.max, люминиры по показаниям |
Обточка | часто больше эмали | щадяще, иногда минимально |
Фиксация | упрощённая | строгие адгезивные протоколы |
Окклюзия/ВНЧС | редко учитывается | всегда под контролем |
Итог на 5 лет | ремонт/переделки | стабильность + профилактика |
Почему «новые технологии» — не про моду, а про предсказуемость
Цифровой мокап, 3D-планирование, CAD/CAM-фрезеровка — это не игрушки, а инструменты безопасности и повторяемости. Когда мы сначала «примеряем» улыбку в виртуальной реальности, вы видите результат, а я понимаю, где ещё улучшить. Так уменьшается риск переделок и ваши переживания за зубы уходят вместе с «неизвестностью».
Честный вывод
Я вижу, как сильно вы хотите улыбаться свободно — на работе, на свидании, в кадре. Я понимаю страх боли и опасение «влететь в копеечку». Моя задача как врача — дать вам не «быстро и бело», а надежно, безопасно и красиво, чтобы не возвращаться к теме снова через год.
Дешевые виниры — это почти всегда компромисс с завтрашним днём. Иногда они уместны как временный шаг, но редко — как решение «на годы». Если для вас важны здоровье зубов, спокойный сустав, естественная эстетика и предсказуемые траты, лучше один раз сделать правильно: с диагностикой, цифровым мокапом, точным материалом и бережным отношением к каждому миллиметру эмали.
Если чувствуете, что готовы обсудить именно ваш случай — приходите. Я подробно отвечу на вопросы, покажу похожие кейсы «до/после» и мы вместе спроектируем улыбку, которую не захочется менять. А моя команда возьмёт на себя всё остальное — от заботы о комфорте до напоминаний о профилактике.
И в завершение: “сэкономить сегодня — переплатить завтра” — типичный сценарий для дешевых виниров. Я здесь затем, чтобы такого счета не было.
Популярные вопросы по теме "Почему дешёвые виниры — это дорого в будущем: честный разбор долгосрочных затрат"
Дешевые виниры (композит) служат 1–3 года, но склонны к пятнам и микротрещинам. Дорогие (E-MAX, люминиры) — 10+ лет, естественный вид. Диагностика ВНЧС и 3D-КТ обязательна для обоих вариантов.
Да, но только при минимальных дефектах. Однако бюджетные виниры часто требуют коррекции через 1–2 года. Мы рекомендуем качественные материалы (IPS e.max), чтобы избежать повторных операций.
Неправильный прикус через виниры вызывает щелчки в суставе и головные боли. Диагностика с помощью 3D-КТ и аксиографии снижает риск осложнений. Это часть безопасного подхода к улыбке.
Обратитесь к врачу — возможно, требуется полировка или замена цемента. Избегайте окрашивающих продуктов, используйте ирригатор. Профессиональная чистка Air-Flow вернет блеск.
- Керамика (Emax) : служат 10+ лет, естественный вид, но требуют обточки.
- Композит : дешевле, устанавливаются за 1–2 визита, но склонны к сколам. Мы рекомендуем Emax для долгосрочного решения и цирконий — при высоких нагрузках.
Избегайте кофе, свеклы и твердой пищи первые 48 часов. Керамика Emax устойчива к пятнам, но требует профилактики у стоматолога. Мягкая диета снижает риск микротрещин.
Ищите клинику с опытными врачами и современным оборудованием.
- Жевание льда или орехов → трещины.
- Использование жесткой щетки → микротрещины и матовость.
- Пропуск профилактики → развитие вторичного кариеса.
Выявляет дефекты эмали, окклюзию и состояние десен. Мы используем внутриротовой сканер и SmileVR AI, чтобы исключить перегрузку ВНЧС и контраст с кожей.
После удаления дешевых виниров возможна чувствительность. Мы рекомендуем мягкую диету и реминерализующие пасты. Процесс адаптации занимает 1–2 недели.
🤔 Не нашли ответа? Запишитесь на консультацию — мы подскажем, как избежать ошибок в лечении.