Чернов Андрей Растиславович, главный врач-ортопед клиники Smile-at-Once, специалист по восстановлению эстетики с помощью виниров . Стаж работы — 14 лет. У меня вы можете пройти комплексную диагностику и получить индивидуальный план лечения.
Можно ли поставить виниры на один зуб? Частные случаи и рекомендации от Чернова А.Р.
Я, Чернов Андрей Растиславович, стоматолог-ортопед с 15 -летним стажем, регулярно сталкиваюсь с вопросом: можно ли поставить виниры на один зуб? Ответ — да, но с оговорками. Виниры на один зуб — это не просто эстетика, это часть комплексного восстановления, которое влияет на прикус, окклюзию и психологический комфорт пациента.
Важно!
Установка виниров на один зуб требует точности, так как он должен гармонировать с соседними. В этой статье вы узнаете:
- Когда виниры на один зуб оправданы
- Какие типы конструкций подходят
- Реальные кейсы из моей практики
- Чего нельзя делать перед процедурой
Что такое виниры и когда их ставят на один зуб
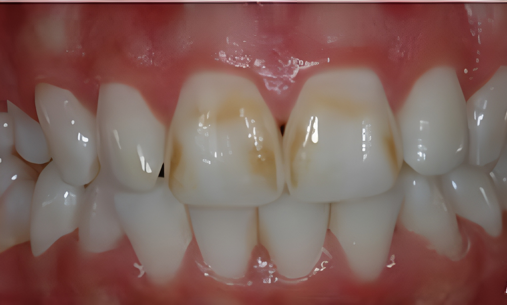
Виниры на один зуб — тонкие накладки, которые фиксируются на переднюю поверхность отдельного зуба. Они решают такие проблемы:
- Трещины и сколы
- Пятна, вызванные кофе или табаком
- Неровности и щель между зубами
- Износ эмали и повышенная чувствительность
Когда показаны:
- Повреждение одного резца или клыка
- Неравномерный цвет зубов (например, один темнее остальных)
- Микротрещина или дефект формы
- Пациент хочет временно протестировать улыбку перед полной реставрацией
Цитата врача:
«Виниры на один зуб — это не просто замаскировать проблему. Это часть восстановления, которая должна сочетаться с общим дизайном улыбки» ,
— объясняет Самбуев Баир Сергеевич , стоматолог-ортопед.
Типы виниров и их совместимость с одиночным зубом
Пример из практики:
Пациентка Ольга, 32 года, обратилась с трещиной на верхнем правом резце. Мы установили керамический винир Emax. Через неделю — идеальный цвет и форма, пациентка снова улыбается свободно.
Пациентка Ольга, 32 года, обратилась с трещиной на верхнем правом резце. Мы установили керамический винир Emax. Через неделю — идеальный цвет и форма, пациентка снова улыбается свободно.

Цитата врача:
«Композитные виниры — хороший временный вариант. Но если нужен долгосрочный результат, выбирайте E.max или диоксид циркония», — говорит Чернов Андрей Растиславович , стоматолог-ортопед.
Начните путь к идеальной улыбке с моей консультации!
Доктор Чернов Андрей – стоматолог-эстетист 14+ лет практики, приглашает Вас на очную консультацию с уникальной диагностикой.
Ваш персональный пакет очного приёма включает:
- 3D-диагностику прикуса + виртуальный сетап улыбки
- Пройдите Smile VR со скидкой
- Получите брошюру о диагностике Smile VR
- Составление индивидуального плана лечения
Только при записи до 15.11.2025 стоимость консультации
5000 рублей 15000 рублей
Чернов Андрей Растиславович
стоматолог-эстетист
опыт 15 лет
Кейсы: когда виниры на один зуб — лучшее решение
Кейс 1: Трещина на резце
Пациентка: Валентина Ивановна, 40 лет.
Диагноз: Трещина на переднем зубе после травмы.
Решение: Винир Emax на поврежденный зуб.
Результат: Через 7 дней — естественный вид и функция.
Пациентка: Валентина Ивановна, 40 лет.
Диагноз: Трещина на переднем зубе после травмы.
Решение: Винир Emax на поврежденный зуб.
Результат: Через 7 дней — естественный вид и функция.
Кейс 2: Пятно после лечения
Пациент: Дмитрий Сергеевич, 38 лет.
Диагноз: Темный оттенок зуба после некачественного лечения.
Ошибка: Пациент пытался отбелить зуб, но пятно не исчезло.
Решение: Винир на один зуб, подобранный под цвет соседних.
Результат: Улыбка стала однородной, пациент доволен.
Кейс 3: Проблема с формой
Пациентка: Инна Александровна, 28 лет.
Диагноз: Неправильная форма резца, щель между зубами.
Решение: Композитный винир для тестирования, затем замена на керамику.
Результат: Через 10 дней — улыбка без щели, пациентка вернулась к работе в сфере обслуживания.
Как проходит установка винира на один зуб

- Консультация и диагностика
- Анализ состояния зуба с помощью внутриротового сканера.
- Оценка окклюзии и работы ВНЧС.
- Моделирование улыбки в SmileVR AI.
- Подготовка зуба
- Препарирование эмали (от 0.3 до 0.7 мм).
- Снятие слепков (цифровыми методами).
- Изготовление временного винира.
- Изготовление постоянного винира
- Фрезерование в лаборатории (для керамики — 3–5 дней).
- Цветокоррекция под естественное освещение.
- Проверка жевательных контактов.
- Фиксация и контроль
- Обработка зуба фтористоводородной кислотой.
- Цементирование с использованием светоотверждаемого композита.
- Контроль окклюзии и дикции.
Пример из практики:
Пациентка Светлана Николаевна прошла полный цикл за 9 дней. Мы использовали керамику Emax и временные виниры для адаптации. Сегодня — естественный вид и комфортное жевание.
Пациентка Светлана Николаевна прошла полный цикл за 9 дней. Мы использовали керамику Emax и временные виниры для адаптации. Сегодня — естественный вид и комфортное жевание.

Мифы о винирах на один зуб
Миф 1: «Виниры на один зуб — это дорого».
Правда: Цена зависит от типа конструкции. Керамика стоит больше, но служит дольше.
Миф 2: «Виниры можно поставить на любой зуб».
Правда: Не на любой. Если зуб подвижен или поврежден изнутри, нужна сначала терапия.
Правда: Не на любой. Если зуб подвижен или поврежден изнутри, нужна сначала терапия.
Миф 3: «Виниры на один зуб можно поставить за один день».
Правда: Только при использовании композита. Керамика требует 5–7 дней на изготовление.
Правда: Только при использовании композита. Керамика требует 5–7 дней на изготовление.
Миф 4: «Виниры не влияют на прикус».
Правда: Если конструкция установлена неправильно — возможно нарушение окклюзии.
Правда: Если конструкция установлена неправильно — возможно нарушение окклюзии.
Цифровой дизайн улыбки и его роль в одиночной реставрации
В клинике Smile-at-Once мы используем программу SmileVR AI для виртуального моделирования:
- Форма и толщина винира
- Цвет под тон кожи
- Жевательные контакты

Пример из практики:
Пациентка Екатерина, 35 лет, хотела винир на один зуб. Мы смоделировали улыбку и подобрали оттенок, который не выделяется на фоне других.
Пациентка Екатерина, 35 лет, хотела винир на один зуб. Мы смоделировали улыбку и подобрали оттенок, который не выделяется на фоне других.
Ошибки пациентов: что нельзя делать до установки
Ошибка 1: Не делать 3D-диагностику
Ошибка: Пациентка Мария, 35 лет, не сделала 3D-КТ перед процедурой.
Последствия: Винир не подошел по окклюзии, потребовалась коррекция.
Решение: Диагностика — обязательный этап.
Ошибка: Пациентка Мария, 35 лет, не сделала 3D-КТ перед процедурой.
Последствия: Винир не подошел по окклюзии, потребовалась коррекция.
Решение: Диагностика — обязательный этап.
Ошибка 2: Самостоятельный выбор оттенка
Ошибка: Пациент Иван, 42 года, выбрал винир в интернете, не проконсультировавшись.
Последствия: Несоответствие цвета с остальными зубами.
Рекомендация: Используйте таблицы Vita или SmileVR AI для подбора.
Ошибка: Пациент Иван, 42 года, выбрал винир в интернете, не проконсультировавшись.
Последствия: Несоответствие цвета с остальными зубами.
Рекомендация: Используйте таблицы Vita или SmileVR AI для подбора.
Ошибка 3: Игнорирование гигиены
Ошибка: Пациентка Анна, 26 лет, не ухаживала за зубом с виниром.
Последствия: Под накладкой развился кариес.
Совет: Ирригатор и мягкая щетка — обязательны.
Ошибка: Пациентка Анна, 26 лет, не ухаживала за зубом с виниром.
Последствия: Под накладкой развился кариес.
Совет: Ирригатор и мягкая щетка — обязательны.
Как выбрать клинику для установки виниров на один зуб

Виниры на один зуб требуют профессионализма:
- Собственная лаборатория
— Это сокращает срок изготовления и повышает точность. - Опыт врача
— Убедитесь, что специалист имеет сертификаты STARTSMILE или Nobel Biocare. - Цифровое планирование
— Использование SmileVR AI и 3D-сканера снижает риск переделок. - Сервисное обслуживание
— Профилактика и полировка — 1–2 раза в год.
Какие виниры подходят при аллергии на металл

Для пациентов с аллергией на металл или гальванической чувствительностью:
- Керамика Emax — биосовместима, не вызывает реакции.
- Циркониевые виниры — инертны к химическим веществам.
Пример:
Пациентка Марина, 40 лет, страдала от зуда после установки старого винира. Мы заменили его на Emax. Реакция исчезла.
Пациентка Марина, 40 лет, страдала от зуда после установки старого винира. Мы заменили его на Emax. Реакция исчезла.
Цитата врача:
«При аллергии важно исключить контакт с металлическими компонентами. Мы используем только безопасные материалы», — говорит Жиленко Евгений Александрович , хирург-имплантолог.
Как ухаживать за виниром на одном зубе, чтобы избежать повреждений?
- Используйте мягкую щетку и пасту без абразивов .
- Чистите ирригатором, чтобы удалить налет в межзубных промежутках.
- Избегайте жевания орехов, льда и яблок первые 48 часов после установки.
- Проходите профилактику у стоматолога каждые 6 месяцев.
Какие ошибки пациентов чаще всего приводят к повреждению винира на одном зубе?
- Жевание твердых продуктов слишком рано после установки.
- Использование жесткой щетки → микротрещины и матовость.
- Пропуск профилактики → налет и воспаление десен. Эти действия сокращают срок службы виниров на 50%.
Что делать, если винир на один зуб отличается по цвету от остальных?
Сразу обратитесь к врачу — возможно, потребуется замена на более подходящий оттенок или полировка. Мы используем SmileVR AI для точного подбора, но изменения в освещении или слюне могут повлиять на восприятие. Врач перепроверит цвет в разных условиях и предложит коррекцию.
Отзывы пациентов
Отзыв 1:
«Не думала, что виниры могут изменить восприятие моего лица. Теперь я не стесняюсь улыбаться на фото» — Светлана, 33 года.
«Не думала, что виниры могут изменить восприятие моего лица. Теперь я не стесняюсь улыбаться на фото» — Светлана, 33 года.
Отзыв 2:
«Попробовал временный винир, потом заменил на постоянный. Через 5 лет — как новые» — Константин, 40 лет.
«Попробовал временный винир, потом заменил на постоянный. Через 5 лет — как новые» — Константин, 40 лет.

Как обезболивание влияет на установку винира
Установка винира на один зуб — минимально инвазивная процедура. Однако при глубоком препарировании:
- Местная анестезия — для комфортного препарирования.
- Обезболивающие гели — после процедуры.
- Седация — для пациентов с боязнью стоматолога.
Пример:
Пациентка Татьяна, 30 лет, боялась любого вмешательства. Мы применили седацию и установили винир за 1 визит.
Пациентка Татьяна, 30 лет, боялась любого вмешательства. Мы применили седацию и установили винир за 1 визит.

Как мы работаем с пациентами из регионов
Мы организуем:
- Онлайн-консультацию — для диагностики и планирования.
- Приезд и проживание — под ключ.
- Сервисное обслуживание — даже после отъезда.
Пример:
Пациентка из Красноярска, Мария, прошла лечение за 8 дней. Мы использовали цифровое планирование и керамику Emax.
Пациентка из Красноярска, Мария, прошла лечение за 8 дней. Мы использовали цифровое планирование и керамику Emax.

Сравнение стоимости виниров и других методов
Важно!
Стоимость зависит от сложности. Мы подберем оптимальный вариант.
Стоимость зависит от сложности. Мы подберем оптимальный вариант.
Как виниры влияют на прикус и работу сустава
Неправильная установка виниров может вызвать:
- Головные боли
- Щелчки в суставах
- Перегрузку жевательных зубов
Пример из практики:
Пациентка Лидия, 38 лет, установила винир без учета окклюзии. Через 6 месяцев — боль в челюсти. Мы заменили конструкцию и скорректировали прикус.
Пациентка Лидия, 38 лет, установила винир без учета окклюзии. Через 6 месяцев — боль в челюсти. Мы заменили конструкцию и скорректировали прикус.
Цитата врача:
«Виниры — не просто эстетика. Они должны работать с челюстной системой», — говорит Вагапов Закир Иркинович , гнатолог.

Как мы поддерживаем пациентов после установки
В клинике Smile-at-Once действует программа:
- Бесплатная консультация 1 раз в год
- Профессиональная полировка виниров
- Контроль окклюзии и жевательных контактов
Пример:
Пациентка Елена, 40 лет, проходит обслуживание уже 5 лет. Виниры выглядят как новые, и прикус стабилен.
Пациентка Елена, 40 лет, проходит обслуживание уже 5 лет. Виниры выглядят как новые, и прикус стабилен.
История, как 1 зуб изменил жизнь
Однажды ко мне обратилась пациентка Валентина, 45 лет, с проблемой скола переднего зуба. Она много лет стеснялась улыбаться, чувствовала себя неполноценной.

Мы провели диагностику и установили керамический винир Emax. Через неделю она вернулась с благодарностью: «Спасибо за возможность снова чувствовать себя красивой. Я забыла, каково это — улыбаться без комплексов».
Такие истории напоминают мне, почему я выбрал эту профессию. Виниры на один зуб — не просто эстетика, это шаг к уверенности и здоровью.
Как виниры влияют на окклюзию и жевательную функцию
Виниры на один зуб могут нарушить жевательные контакты, если:
- Толщина накладки больше 0.7 мм
- Форма не соответствует окклюзионной схеме
Пример:
Пациентка Лидия, 38 лет, установила винир без учета прикуса. Через 6 месяцев — боль в ВНЧС. Мы заменили конструкцию и скорректировали жевательные контакты.
Пациентка Лидия, 38 лет, установила винир без учета прикуса. Через 6 месяцев — боль в ВНЧС. Мы заменили конструкцию и скорректировали жевательные контакты.
Какие виниры подойдут при чувствительности эмали

Для пациентов с чувствительной эмалью:
- Композитные виниры — можно подправлять по мере изменения.
- Тонкие керамические виниры — минимальное препарирование.
- Люминиры — не подходят, так как требуют точной окклюзии.
Совет:
Если вы боитесь дискомфорта, выбирайте временные виниры для тестирования.
Сравнение виниров и коронок на один зуб

Важно!
Коронки требуют большего препарирования, но подходят при серьезных дефектах.
Коронки требуют большего препарирования, но подходят при серьезных дефектах.
Как виниры влияют на стоимость лечения
Виниры на один зуб варьируются по цене:
- Керамика Emax — от 40 000 ₽
- Композитный винир — от 15 000 ₽
- Цифровой дизайн улыбки — от 15 000 ₽
Важно!
Стоимость зависит от подготовки и сложности случая.
Стоимость зависит от подготовки и сложности случая.
Как мы поддерживаем пациентов после установки
- Первые 48 часов:
— Мягкая пища, избегать орехов и леденцов. - Ежедневная гигиена:
— Ирригатор, мягкая щетка, пасты без абразивов. - Регулярные визиты:
— 1 раз в 6 месяцев для контроля окклюзии.

Совет:
Мы предоставляем программу питания после операции, чтобы ускорить адаптацию.
Мы предоставляем программу питания после операции, чтобы ускорить адаптацию.
Как виниры влияют на качество жизни
Виниры на один зуб не только улучшают внешний вид, но и:
- Повышают уверенность в себе
- Снижают риск дальнейшего повреждения
- Улучшают дикцию и жевание
Пример:
Пациентка Инна Александровна, 46 лет, вернулась к социальной жизни после установки винира на один зуб. Сегодня — никаких комплексов.
Пациентка Инна Александровна, 46 лет, вернулась к социальной жизни после установки винира на один зуб. Сегодня — никаких комплексов.
Как мы выбираем оттенок виниров под вашу кожу

Цветотип кожи влияет на выбор оттенка:
- Холодный тон кожи (розовые щеки, синие вены):
— Подходят A1, B1, C1. - Теплый тон кожи (золотистые оттенки):
— A2, B2, A3. - Нейтральный тон кожи:
— A2, B1, A1.
Цитата врача:
«Мы используем таблицы Vita и SmileVR AI, чтобы виниры сочетались с вашим цветотипом», — объясняет Самбуев Баир Сергеевич, стоматолог-ортопед.
Какие ошибки допускают пациенты после установки
Ошибка 1: Нарушение режима ухода
Ошибка: Пациентка Мария, 30 лет, не ухаживала за виниром.
Последствия: Под накладкой развился кариес.
Рекомендация: Ирригатор и мягкая щетка — обязательны.
Ошибка: Пациентка Мария, 30 лет, не ухаживала за виниром.
Последствия: Под накладкой развился кариес.
Рекомендация: Ирригатор и мягкая щетка — обязательны.
Ошибка 2: Еда твердой пищи через 2 дня
Ошибка: Пациент Иван, 40 лет, начал есть яблоко на второй день.
Последствия: Микротрещина на винире.
Совет: Только мягкая пища в первые 48 часов.
Ошибка: Пациент Иван, 40 лет, начал есть яблоко на второй день.
Последствия: Микротрещина на винире.
Совет: Только мягкая пища в первые 48 часов.

Как виниры влияют на прикус и работу сустава
Неправильное исправление прикуса с винирами может вызвать:
- Головные боли
- Щелчки в суставах
- Перегрузку жевательных зубов
Пример из практики:
Пациентка Лидия, 38 лет, установила винир без учета окклюзии. Через 6 месяцев — боль в ВНЧС. Мы заменили конструкцию и скорректировали прикус.
Пациентка Лидия, 38 лет, установила винир без учета окклюзии. Через 6 месяцев — боль в ВНЧС. Мы заменили конструкцию и скорректировали прикус.
Цитата врача:
«Виниры — не просто эстетика. Они должны работать с челюстной системой», — объясняет Вагапов Закир Иркинович, гнатолог.
Заключение
Виниры на один зуб — это реальное решение для пациентов, которые хотят:
- Восстановить форму и цвет
- Скрыть трещины и пятна
- Избежать полного протезирования
Однако важно помнить:
- Виниры требуют точной диагностики и планирования.
- Они не подходят для подвижных зубов.
- Требуется регулярный уход и профилактика.
Если вы хотите изменить улыбку без стресса, запишитесь на бесплатную консультацию. Я и моя команда подберем индивидуальное решение.
Популярные вопросы по теме "Можно ли поставить виниры на один зуб? Частные случаи и рекомендации от Чернова А.Р."
Сразу обратитесь к врачу — возможно, потребуется замена на более подходящий оттенок или полировка. Мы используем SmileVR AI для точного подбора, но изменения в освещении или слюне могут повлиять на восприятие. Врач перепроверит цвет в разных условиях и предложит коррекцию.
Да, выбирайте керамику Emax или цирконий — они гипоаллергенны. Перед установкой пройдите тесты на биосовместимость. Избегайте композитных систем, если есть чувствительность к акрилатам.
Неправильная окклюзия через винир перегружает суставы, вызывая головные боли и щелчки. Диагностика с 3D-КТ и аксиографией снижает риск осложнений. Без анализа прикуса возможна деформация конструкции.
- Используйте мягкую щетку и пасту без абразивов .
- Чистите ирригатором, чтобы удалить налет в межзубных промежутках.
- Избегайте жевания орехов, льда и яблок первые 48 часов после установки.
- Проходите профилактику у стоматолога каждые 6 месяцев.
Да, композитные виниры — бюджетный вариант для тестирования улыбки. Однако они менее прочны (3–5 лет) и требуют регулярной полировки. Для долгосрочного решения лучше выбрать Emax или цирконий .
Проверьте окклюзию у врача — возможно, конструкция неправильно распределяет нагрузку. Мы отполируем края или заменим винир. Не терпите боль — это может привести к воспалению десен или повреждению имплантов.
- Emax : от 40 000 ₽ (включая диагностику и моделирование).
- Композит : от 15 000 ₽.
- Люминиры : от 25 000 ₽. Дополнительные расходы: профессиональная чистка, капа при бруксизме.
- Жевание твердых продуктов слишком рано после установки.
- Использование жесткой щетки → микротрещины и матовость.
- Пропуск профилактики → налет и воспаление десен. Эти действия сокращают срок службы виниров на 50%.
Да, но сначала проведите отбеливание, затем установите винир. Это позволит подобрать оттенок под обновленную улыбку. При обратном порядке конструкцию придется заменять из-за контраста.
🤔 Не нашли ответа? Запишитесь на консультацию — мы подскажем, как избежать ошибок в лечении.