Чернов Андрей Растиславович, главный врач-ортопед клиники Smile-at-Once, специалист по восстановлению эстетики с помощью виниров . Стаж работы — 14 лет. У меня вы можете пройти комплексную диагностику и получить индивидуальный план лечения.
Здоровье десен и виниры: почему важно готовить ротовую полость перед установкой?

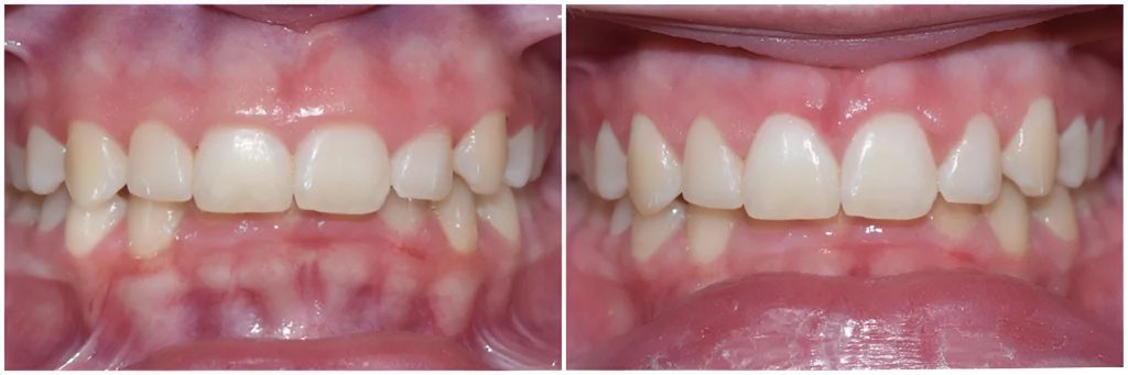
Виниры — это не только способ улучшить эстетику, но и вмешательство, которое требует подготовки, особенно если говорить про здоровье десен перед винирами. Многие пациенты не задумываются, что перед установкой виниров важно проверить здоровье десен. Если этот момент упустить, могут возникнуть проблемы, которые скажутся на сроке службы виниров. Разберемся, почему здоровье десен перед винирами — ключ к успешному результату и долговечности конструкции.
Почему важно здоровье десен перед установкой виниров?
Десны играют ключевую роль в здоровье всей ротовой полости. Именно они обрамляют зубы, создают визуальный контур улыбки и защищают подлежащие ткани от проникновения бактерий. Любое воспаление — даже лёгкое покраснение — может стать проблемой при установке виниров.
Например, при отеке десневого края врач не сможет точно определить границу, до которой должен доходить винир. В результате край может получиться нависающим или, наоборот, слишком коротким — и в том, и в другом случае это приведёт к воспалению, кариесу и разгерметизации.
Кроме того, воспалённые десны плохо реагируют на любые манипуляции. Даже простая установка ретракционной нити при снятии оттиска может вызвать кровотечение. А это влияет на точность примерки и качество фиксации винира. Вот почему здоровье десен перед винирами — не формальность, а строгое медицинское условие.
Совет врача: «Перед установкой виниров я всегда рекомендую проверить здоровье десен — это продлит срок службы конструкции и избавит от осложнений. Это также поможет избежать осложнений в будущем, но и поможет избежать осложнений. Лучше заранее провести осмотр и при необходимости устранить проблемы.»
Какие процедуры могут понадобиться перед установкой виниров?
Перед установкой виниров стоматолог может порекомендовать следующие процедуры:
1. Профессиональная чистка зубов

Удаление налета и зубного камня – это первый шаг к здоровым деснам. Чистка предотвращает воспаление, улучшает общее состояние ротовой полости и способствует плотному прилеганию виниров. Она проводится с помощью ультразвука, воздушно-абразивной техники (Air Flow) или механических инструментов.
2. Лечение воспаленных десен
Если у пациента есть признаки гингивита или пародонтита, необходимо пройти лечение. Это может включать специальные антисептические полоскания, лазерную терапию, применение противовоспалительных гелей и даже глубокую чистку пародонтальных карманов. Лечение проводится индивидуально в зависимости от степени воспаления.
3. Коррекция десневого контура
Иногда перед установкой виниров требуется небольшая коррекция формы десен для более эстетичного результата. Лазерная гингивэктомия помогает сделать линию десен ровной и гармоничной, что положительно сказывается на общем виде улыбки. В некоторых случаях может потребоваться хирургическая пластика десен.
4. Оценка состояния зубов и их структуры
Помимо здоровья десен, врач оценивает, нет ли у пациента скрытых кариозных процессов, ослабленных пломб или поврежденных зубов. Перед установкой виниров зубы должны быть полностью вылечены и укреплены.
Когда десны полностью восстановлены, можно переходить к следующему этапу — снятию слепков и примерке.
Этапы подготовки десен перед установкой виниров
Этап | Что делаем | Зачем это нужно |
---|---|---|
Профгигиена | Удаление камня, налета, полировка | Убираем воспаление и подготавливаем поверхность зубов |
Лечение гингивита/пародонтита | Полоскания, гели, лазер, глубокая чистка | Снимаем воспаление, стабилизируем ткани |
Коррекция десневого контура | Лазер, гингивэктомия, пластика сосочков | Достигаем симметрии и эстетики улыбки |
Оценка состояния зубов | Диагностика кариеса, проверка пломб | Обеспечиваем прочность опоры под виниры |
Цифровое планирование и мокап | Моделируем будущую улыбку, примерка | Проверяем взаимодействие виниров с мягкими тканями |
Проверка ВНЧС и прикуса | Функциональная диагностика, релаксация | Исключаем перегрузку и трещины в будущем |
Как здоровье десен влияет на точность примерки виниров?
Оттиск снимается с анатомических структур, и если они меняются из-за воспаления — страдает вся работа. Десна в норме плотно облегает зуб, но при отёке она может приподниматься или отходить. Это нарушает прилегание винира и ведёт к образованию «ступеньки» между композитом и зубом.
Кроме того, воспалённые ткани легко травмируются во время снятия слепка. Это может вызвать кровотечение, и материал не зафиксирует нужную форму. Как результат — виниры придётся переделывать или подгонять вручную, что ухудшит эстетику и долговечность.
Именно поэтому я всегда начинаю работу с мягкими тканями. Когда десна здорова — она стабильна, не кровоточит, даёт чёткий оттиск. А это означает: мы получим винир, который идеально сядет и прослужит десятилетиями.
Влияние десневого контура на результат
Контур десны формирует визуальную симметрию улыбки. Даже если зубы и виниры сделаны идеально, а десна «сползает» или асимметрична — вся картина будет казаться неестественной. Пациенты могут этого не осознавать, но интуитивно считывают дисбаланс.

Мы часто корректируем контур с помощью лазера — это быстрая и малотравматичная процедура. Иногда нужно буквально 1–2 мм изменить по высоте, чтобы добиться симметрии. Такая гингивэктомия особенно актуальна при короткой клинической коронке или десневой улыбке.
В сложных случаях мы прибегаем к хирургической пластике. Это может быть аугментация тканей, удлинение коронковой части, пластика межзубных сосочков. Все эти манипуляции направлены на то, чтобы линия десны стала ровной и устойчивой.
Но даже идеальный контур — не всё. Устойчивость результата во многом зависит от здоровья тканей в глубине пародонта.
Парадонтолог и ортопед — совместная работа
Устойчивый пародонт — это база для эстетического лечения. Поэтому я всегда работаю в связке с пародонтологом, особенно если у пациента есть признаки пародонтита: рецессии, пародонтальные карманы, подвижность зубов.
Врач-пародонтолог проводит санацию, стабилизирует воспаление, обучает пациента правильной гигиене. Иногда мы откладываем протезирование на 2–3 месяца, чтобы добиться полной ремиссии. Только после этого можно моделировать виниры.
Такой подход даёт системный результат. Мы не просто «накрываем» проблемные зубы винирами, а устраняем первопричину. Это и есть современная стоматология — не маскировать, а восстанавливать здоровье и эстетику одновременно.
Состояние прикуса и ВНЧС — часто упускаемый фактор
Иногда пациенты думают, что виниры — это исключительно про форму и цвет. Но если не учитывать прикус, можно столкнуться с перегрузкой и отколами. Особенно опасно ставить виниры на передние зубы при дистальном прикусе или бруксизме.
В моей практике обязательным этапом является функциональная диагностика. Мы проводим анализ движений челюсти, оценку ВНЧС, при необходимости — ТЕНС‑терапию или сплинт‑тест. Это помогает понять, как ведут себя мышцы и суставы во время жевания и сна.
Если есть патология прикуса — сначала проводим коррекцию: ортодонтию, шлифовку, мышечную релаксацию. Только потом переходим к эстетике. Виниры — это не “поставить красиво”, а “поставить грамотно”. Без понимания функций ВНЧС ни о какой долговечности речи быть не может.
Цифровое планирование и мокап: как это помогает оценить десны
Цифровой подход — это наша реальность. Я не начинаю протезирование без мокапа — временной 3D‑модели будущей улыбки. Мы изготавливаем её по цифровым слепкам, с учётом анатомии десны, толщины тканей и даже мимики пациента.

Пациент может «примерить» будущую улыбку, посмотреть в зеркало, дать обратную связь. А я вижу, как виниры взаимодействуют с мягкими тканями — не давят ли они, не нарушают ли эстетику десневого края. Иногда мокап сам подсказывает, где нужна гингивопластика.
Это делает лечение прозрачным и понятным. Мы заранее знаем, что получится — и пациент, и врач. Такой подход исключает сюрпризы и делает результат максимально предсказуемым.
Как мокап помогает увидеть проблемы с десной заранее
Иногда даже небольшая асимметрия десны становится заметной только на этапе примерки мокапа. Я смотрю, как мягкие ткани реагируют на временную конструкцию: нет ли компрессии, не изменился ли контур, не возникло ли раздражения. Такие наблюдения позволяют скорректировать дизайн виниров до финального этапа. Это надёжнее, чем дорабатывать уже готовые конструкции.
Почему не стоит торопиться с винирами при воспалении десен
Иногда пациенты говорят: «Давайте быстрее!». Но в стоматологии спешка почти всегда приводит к доработкам, воспалениям и дополнительным расходам. Если десна воспалена — она нестабильна, и на неё нельзя ставить постоянную конструкцию.
Даже если воспаление выглядит «умеренным», на клеточном уровне может сохраняться активный процесс. Это приведёт к тому, что через 1–2 месяца десна «просядет», обнажив край винира. Визуально это будет выглядеть как чёрная линия у десны — и пациент снова придёт на переделку.
Поэтому я всегда говорю честно: сначала здоровье, потом виниры. Это безопасно, разумно и экономически выгоднее, чем устранять последствия.
Роль гигиены после лечения десен
Даже идеальные виниры не спасут от воспаления, если за ними не ухаживать. После фиксации важно научиться использовать флосс, ирригатор, межзубные ёршики. Я провожу инструктаж и подбираю гигиену под каждый конкретный случай.

Кроме того, необходимо приходить на профессиональную чистку 2 раза в год. Это позволяет убрать поддесневой налёт, отполировать виниры, укрепить эмаль и ткани пародонта. Особенно важно следить за зонами между виниром и десной.
Помните: гигиена — это продолжение лечения, а не его завершение. Только при комплексном подходе здоровье десен перед винирами сохраняется на долгие годы.
Частые ошибки пациентов перед винирами
- Пренебрегают лечением гингивита, думая, что «само пройдёт»
- Пропускают профессиональную гигиену перед началом лечения
- Считают, что виниры — это просто «косметика», а не серьёзное вмешательство
- Уверены, что прикус «неважен», если планируются только передние зубы
- Не сообщают врачу о скрежете зубами, болях в суставе или щелчках
Как врач, я всегда объясняю: здоровье десен перед винирами — не мелочь, а фундамент всего результата.
Как определить, готовы ли ваши десны к винирам?
Таблица: Признаки здоровых десен перед винирами
Признак | Что это означает |
---|---|
Нет кровоточивости | Десны не реагируют на щетку или флосс |
Четкий, ровный контур | Без отёков, гипертрофии, асимметрии |
Нет налёта и камня | Поверхность зубов чистая |
Зубы стабильны | Нет подвижности, десна плотно прилегает |
Нет карманов | Десна не «отходит» от зубов |
Нет запаха изо рта | Нет признаков хронического воспаления |
Если у вас есть сомнения, лучше проконсультироваться с врачом и провести диагностику ротовой полости.
Вопросы, которые я задаю на первичном осмотре
- Бывает ли кровоточивость при чистке зубов?
- Когда вы в последний раз делали профгигиену?
- Есть ли чувствительность в области десны?
- Используете ли вы флосс или ирригатор?
- Бывает ли запах изо рта по утрам?
- Замечали ли опущение десны или «оголённые шейки»?
Честные ответы помогут сразу определить, в каком состоянии находятся ваши десны и нужна ли подготовка перед винирами.
Итог
Здоровье десен перед винирами — это не формальность, а стратегическая задача, от которой зависит успех всего лечения. Профессиональная чистка, лечение воспалений, коррекция контура десен и общая оценка состояния зубов помогут избежать проблем в будущем. Если проигнорировать этот этап, даже самые дорогие виниры могут со временем стать причиной дискомфорта, воспалений и ухудшения состояния зубов.
Запишитесь на консультацию к стоматологу, чтобы убедиться, что ваши десны в порядке. Здоровая ротовая полость – основа эстетики и здоровья, на которой держится каждый успешный случай с винирами.
🤔 Не нашли ответа? Запишитесь на консультацию — мы подскажем, как избежать ошибок в лечении.